O projektu

Kvantitativna analiza makularne vaskularne gustoće u zdravih, ljudskih očiju pomoću optičke koherentne tomografije s angiografijom- novi dijagnostički pristup

Cilj:

- Kvantificirati parafovealnu vaskularnu gustoću u površinskom kapilarnom pleksusu (SCP) i dubokom kapilarnom pleksus (DCP) kod zdravih, ljudskih očiju koristeći se optičkom koherentnom tomografijom s angiografijom.

Bolesnici i metode:

- Uključen je 61 sudionik (ukupno 122 očiju) bez patologije na mrežnici. Svim sudionicima je učinjeni kompletni oftalmološki pregled, uključujući 6-mm x 6-mm optičku koherentnu tomografiju s angiografijom centriranu u makuli nakon proširenja zjenice. OCT-A je učinjena na komercijalno dobavljivom uređaju Swept Source Optopol Revo NX uz automatsku segmentaciju snimaka na površinski kapilarni pleksus (SCP) i duboki kapilarni pleksus (DCP). Slike su pregledavane ručno od strane istraživača. Sve 6-mm x 6-mm OCT-A slike su obrađivane koristeći naš za ovu svrhu izrađeni kompjuterski program “OCT Angio analizator VV”. Koristila se deskriptiva statistika uključujući srednja vrijednost, standardna devijacija (SD), raspon i postoci. Također smo koristili korelacijsku analizu (Pearsonov koeficijent i linearnu regresiju).

Rezultati:
  1. Svih 122 zdravih, ljudskih očiju (Ž=36; M= 25) s dobrom kvalitetom snimaka uključili smo u analizu. Srednja vrijednost vaskularne gustoće cijelog mjerenog područja bila je za površinski kapilarni pleksus SCP 34,20% (SD 4,23) i za duboki kapilarni pleksus DCP 48,27% (SD 2,96).

  2. Dobivene srednje vrijednost vaskularne gustoće u površinskom kapilarnom pleksusu za dobne skupine :

    • 18-29g. iznosile su 36,35%,
    • 30-39g. iznosile su 38,59%
    • 40-49g. iznosile su 36,33%
    • 50-59g. iznosile su 34,98%
    • 60-69g. iznosile su 32,38%
    • više od 70g. iznosile su 32,33%
  3. Dobivene srednje vrijednost vaskularne gustoće u dubokom kapilarnom pleksusu pleksusu za dobne skupine :

    • 18-29g. iznosile su 49,24%,
    • 30-39g. iznosile su 49,87%,
    • 40-49g. iznosile su 48,90%,
    • 50-59g. iznosile su 48,87%,
    • 60-69g. iznosile su 47,82%
    • više od 70g. iznosile su 46,76%
Vaskularna gustoća je stabilna do pedesete godine uz blago povećanje za skupine od 30-39 godine, nakon 50-te godine u svim skupina vaskularna gustoća počinje progresivno opadati.
Zaključak:

- Korištenje neinvazivne optičke koherentne tomografije s angiografijom te obradom tako dobivenih standardiziranih digitaliziranih prikaza s kompjuterskim programom “OCT Angio analizator VV ” pokazala se kao reproducibilna metoda za kvantifikaciju individualnih vaskularnih gustoća unutar makule. Dobiveni podaci u trendovima i relativnim iznosima usporedivi su s podacima iz sličnih studija koje su proučavale makularnu vaskularnu gustoću kod zdravih pojedinaca. Razlike u korištenim uređajima, različitim verzijama kompjuterskih programa za analize s različitim pragom osjetljivosti onemogućuju usporedbu dobivenih podatak u apsolutnim iznosima između različitih studija.

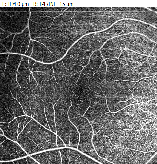
Primjer rezultata dobivenih kompjuterskom obradom

Slika 6-mm x 6-mm optičkom koherentnom tomografijom na uređaju Swept Source Optopol Revo NX uz automatsku segmentaciju snimaka na površinski kapilarni pleksus (SCP)

Slika 6-mm x 6-mm dobivena kompjuterskom obradom originalne slike sa izračunatim vrijednostima:

RGB prosjek = 98

Relativni postotak žila = 35.19 %

Slika 6-mm x 6-mm optičkom koherentnom tomografijom na uređaju Swept Source Optopol Revo NX uz automatsku segmentaciju snimaka na duboki kapilarni pleksus (DCP)

Slika 6-mm x 6-mm dobivena kompjuterskom obradom originalne slike sa izračunatim vrijednostima:

RGB prosjek = 118

Relativni postotak žila = 51.89 %

Demo rada OCT Angio analizatora VV i upute

Demo rada OCT Angio analizatora VV